Toothbrush Brushing Too Hard

Toothbrush Brushing Too Hard. Am I Brushing My Teeth Too Hard? How To Tell Euless, TX Brushing your teeth too hard or too often can wear down tooth enamel, leading to sensitivity and pain, and it can also cause receding gums by exposing the root area We're all taught from a young age the importance of brushing our teeth

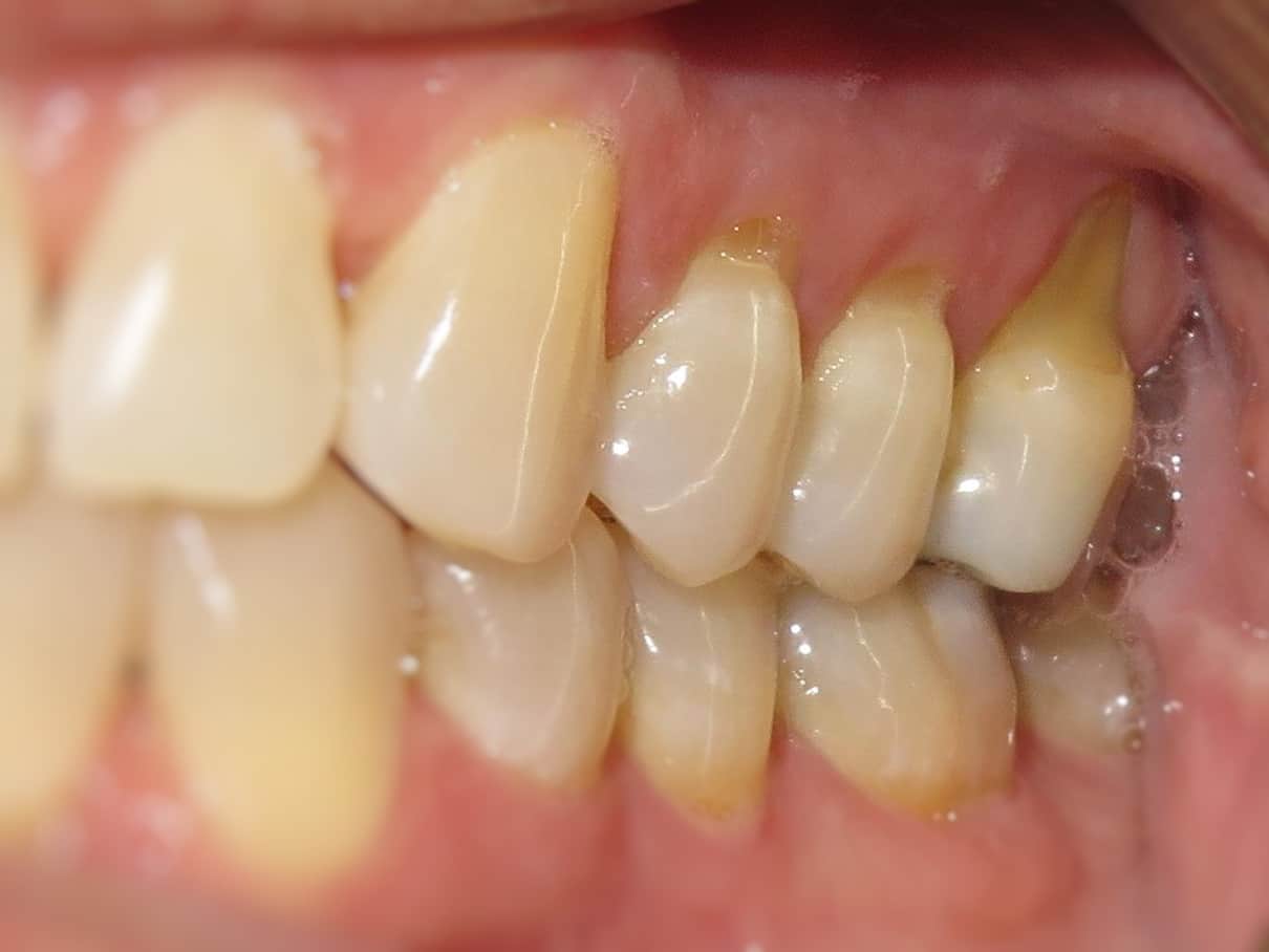
Brushing Teeth Too Hard Toothbrush TeethWalls
Brushing Teeth Too Hard Toothbrush TeethWalls from teethwalls.blogspot.com

Your brushing technique is just as important as the toothbrush you use Brushing your teeth too hard or too often can wear down tooth enamel, leading to sensitivity and pain, and it can also cause receding gums by exposing the root area

Brushing Teeth Too Hard Toothbrush TeethWalls

Tooth sensitivity: Brushing too hard can wear away enamel and reveal inner layers of the tooth like the dentin layer We're all taught from a young age the importance of brushing our teeth Tooth sensitivity: Brushing too hard can wear away enamel and reveal inner layers of the tooth like the dentin layer

Healthy Centre Dental abrasion, result Brushing Too Hard. Brushing too hard — or using the wrong toothbrush — can damage your teeth and gums, leading to problems like enamel wear and receding gums, which can in turn lead to tooth sensitivity, says. When I Googled "brushing too hard," however, a bevy of academic studies, individual dental practice sites, and name-brand toothbrush and toothpaste company blogs popped up, all warning me.

4 Signs You’re Brushing Your Teeth Too Hard, and 4 Ways You Can Fix It / Bright Side. Dentin has nerves in it, and when exposed to extreme. Brushing your teeth too hard or too often can wear down tooth enamel, leading to sensitivity and pain, and it can also cause receding gums by exposing the root area